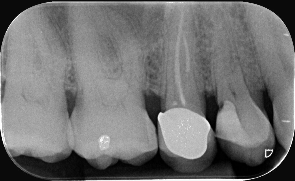
La pulpotomie tampon, décrite par Saeed Asgary et collaborateurs (7 publications a ce jour), représente une possible alternative à la pulpectomie, pour les dents matures présentant une pulpite irréversible avec une hémorragie pulpaire difficile à contrôler.
Pour rappel, l’obtention de l’hémostase dans un délai imparti est un critère fondamental qui guide le choix thérapeutique du praticien.
En s’appuyant sur l’utilisation de biomatériaux à base de silicate de calcium, cette approche propose de maintenir la vitalité pulpaire en contrôlant mécaniquement le saignement grâce à l’application « en tampon » du biomatériau sur la pulpe.
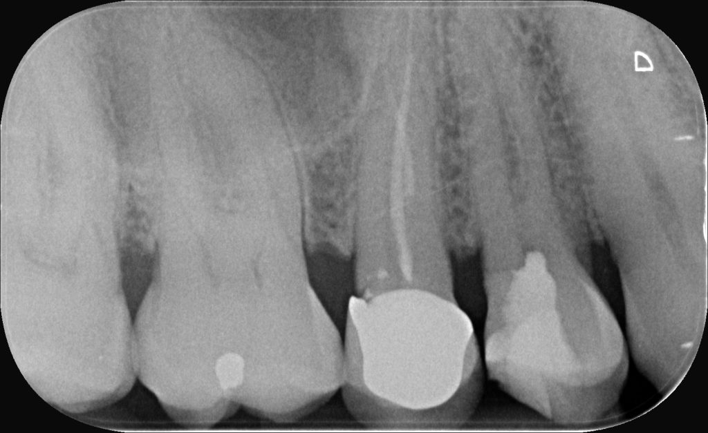
Asgary a d’abord documenté le concept de « tampon vital pulp therapy » comme une hypothèse biologiquement fondée pour les cas de pulpite irréversible avec saignement persistant, en montrant que l’obtention d’une hémostase parfaite n’est peut‑être pas indispensable si le caillot est stabilisé par un biomatériau adapté favorisant la cicatrisation et la formation de tissu dur.
Des séries de cas et rapports cliniques ultérieurs, notamment sur des molaires temporaires et permanentes, ont mis en évidence des taux de succès élevés à moyen et long terme, avec disparition des symptômes, normalisation du ligament alvéolo-dentaire et maintien fonctionnel de la dent.
Dans ce contexte, le cas clinique présenté illustre le protocole de pulpotomie tampon à une prémolaire présentant une pulpite irréversible et une hémorragie persistante.






Est-ce que cela va fonctionner aussi bien que dans la littérature, telle est la question !!
Pour d’autres articles, direction le blog d’Endolight : https://endolight.fr/blog-endolight/